Need Emergency Care? Call Us for Priority Scheduling. CALL US »

MySolutions Dental Clinic Smile Gallery

Explore Our Smile Gallery

We believe that every person’s smile is one of a kind. Our Smile Gallery offers a closer look at how particular types of treatments may help restore comfort, function, aesthetic and overall oral well-being.

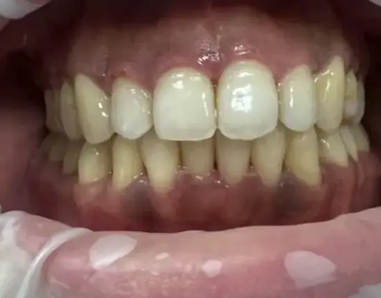
Dental Crowns

crowns-before copy crowns-after copy

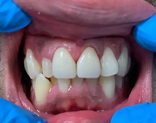
Porcelain Bridge

beforePorcelain copy after1Porcelain copy

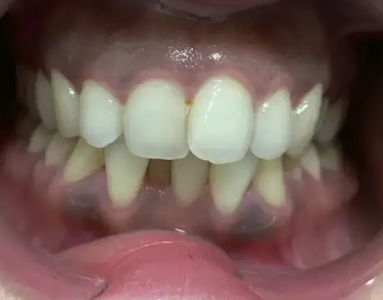
Porcelain Crown Replacement

Porcelain-Crown-Replacement-before copy Porcelain-Crown-Replacement-after1 copy

Invisalign®

Invisalign_after copy Invisalign_before copy

Porcelain Crowns

Porcelain-Crown_before copy Porcelain-Crown_after copy

Composite Veneers

Composite-Venners_before copy Composite-Venners_after copy

Book a Visit to Discuss Your Personal Needs

Curiosity about what might be possible for your smile is a great place to begin, and our team is ready to help you explore your options with clarity and reassurance. Our team at MySolutions Dental Clinic is here to guide you toward your dental goals.

Patients coming from Artarmon, Cammeray, Castlecrag, Chatswood, Chatswood West, Cremorne, Cremorne Point, Greenwich, Kirribilli, Kurraba Point, Lane Cove, Lane Cove North, Lane Cove West, Lavender Bay, Longueville, McMahons Point, Milsons Point, Mosman, Naremburn, Neutral Bay, North Sydney, Northbridge, Riverview, St Leonards, Waverton, Willoughby, Willoughby East, Wollstonecraft, Crows Nest, NSW are welcome!